
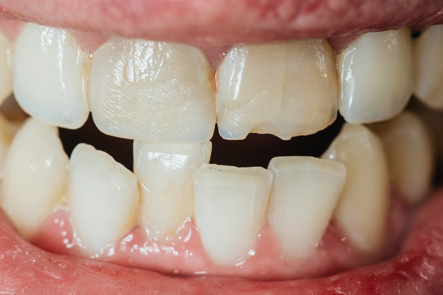
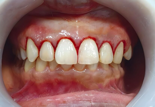
Rediscover Your Perfect Smile with Dental Bridges
Are you tired of the gaps in your smile that make you self-conscious? Imagine a world where you can confidently flaunt a complete, dazzling smile

Are you tired of the gaps in your smile that make you self-conscious? Imagine a world where you can confidently flaunt a complete, dazzling smile

Introduction to Cosmetic Dentistry and Its Importance Cosmetic dentistry helps people feel confident about their smiles. In fact, many people want to fix chipped, stained,

What is Oral Lichen Planus? Oral Lichen Planus is a long-lasting condition that affects the inside of your mouth. It causes white patches, red swollen

Curious about transforming your smile? Here are answers to some common questions about smile correction, helping you navigate the exciting journey toward a confident and

Malocclusion is a common dental condition that affects millions of people worldwide. It refers to the misalignment of teeth or the improper positioning of the

Q1: What is TMJ? A1: Temporomandibular joint (TMJ) is the joint that connects your jawbone to your skull. TMJ can also refer to temporomandibular joint

Do you find yourself hiding your smile because of misaligned or crooked teeth? Metal braces may be the answer you have been looking for. Not

Metal braces are a tried-and-true orthodontic treatment option that has been used for decades to correct misaligned teeth and achieve a straighter smile. They consist

Dental crowns are tooth-shaped caps that are placed over damaged or decayed teeth to restore their shape, size, and strength. If your dentist recommends a

Dental implants are a popular way to replace missing teeth. They offer a long-lasting solution for people who want a natural-looking smile. Many people choose

What Is an Avulsed Tooth? An avulsed tooth is a tooth that has been completely knocked out of its socket. This is a serious dental

Introduction Orthodontic restoration is a way to fix and improve teeth alignment. It helps people get a healthy and beautiful smile. Good dental health is

Introduction Pregnancy is a special time in a woman’s life. It brings many changes to the body, including the mouth. Oral health means keeping your

A dental crown is a tooth-shaped cap that is placed over a damaged or decayed tooth to restore its shape, size, and strength. It is

Myth 1: TMJ only affects older adults. Fact: TMJ can affect individuals of all ages, including children, teenagers, and adults. Age is not a determining

Malocclusion, the misalignment of teeth or improper positioning of the upper and lower jaws, can be a source of discomfort and self-consciousness. However, with effective

Wisdom tooth extraction, a common dental procedure many individuals undergo to alleviate pain, prevent complications, and maintain oral health. These third molars, also known as

Dentures are a popular and effective solution for people who have lost their natural teeth. They are removable prosthetic devices that are designed to replace

Why are Dentures Used? Dentures are used to replace missing teeth and restore your smile and ability to eat and speak properly. They provide support

Cracked teeth are a common dental problem that should never be ignored. If left untreated, a cracked tooth can lead to serious dental issues such

Teeth bleaching, commonly known as teeth whitening, is one of the most popular cosmetic dental treatments available today. It’s a quick and effective way to

In the world of modern dentistry, dental implants have brought a remarkable solution for people who want to restore their smiles, regain confidence, and improve

Are you tired of the gaps in your smile that make you self-conscious? Imagine a world where you can confidently flaunt a complete, dazzling smile

Invisible aligners, like Invisalign, are a popular and discreet option for straightening your teeth. One of the main advantages of these aligners is that they

A radiant smile is often considered one of the most attractive features a person can possess. It has the power to boost self-confidence, enhance social

A dental procedure to repair and save a tooth that is infected or badly decayed. During a root canal procedure, the dentist removes the infected

Dental bridges are a type of dental restoration used to replace one or more missing teeth. They are typically made up of one or more

Periodontal disease, also known as gum disease, is a common condition that affects the gums and tissues surrounding the teeth. If left untreated, it can

In the world of modern dentistry, dental implants have brought a remarkable solution for people who want to restore their smiles, regain confidence, and improve

Dental Caries is an infectious disease caused by microorganisms or bacteria which destroy the tooth structure leading to holes in the teeth. Dental caries, also